Smile Gallery

"Smile transformation: Before & after showcase"

The Magic Of Composites

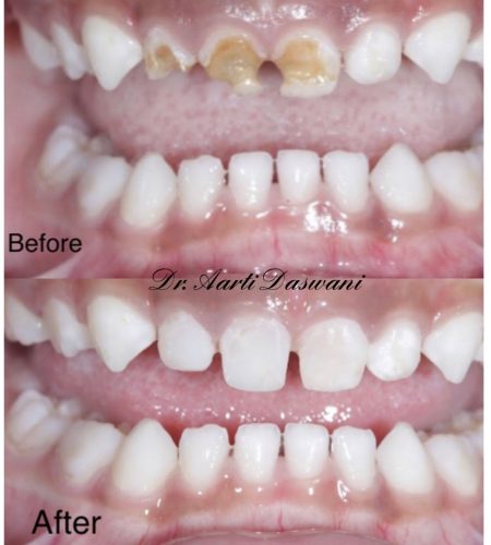
Discoloration masked with composites
Enhancement of smile with composites and whitening
Makeover of kid's smile
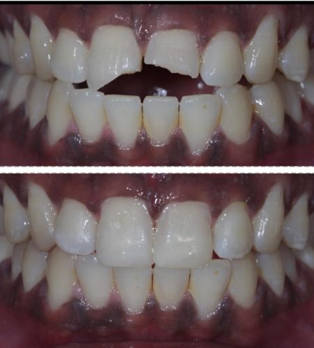
Composite class 3 restoration
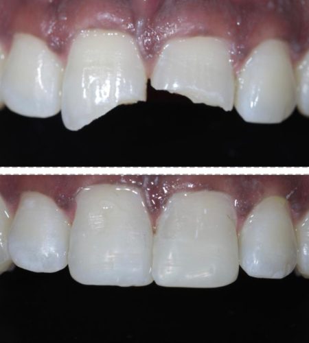
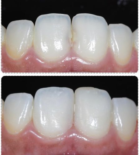
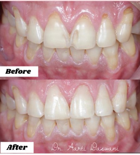
Composite edge built up
Diastema closure with composite
Posterior composite
Smile correction with whitening and composite
Magic of composites in milk teeth
Smile makeover with composites
new1
new2
new3
new4
new5
new6

Teeth Whitening

Ceramic Laminates And Crown

IMG-3604
Scroll to Top